|
Background: |
Involved in nucleolar processing of pre-18S ribosomal RNA. |
|
Applications: |
ELISA, WB, IHC |
|
Name of antibody: |
UTP11 |
|
Immunogen: |
Full length fusion protein |
|
Full name: |
UTP11 small subunit processome component |
|
Synonyms: |
CGI94; CGI-94; UTP11L |
|
SwissProt: |
Q9Y3A2 |
|
ELISA Recommended dilution: |
5000-10000 |
|
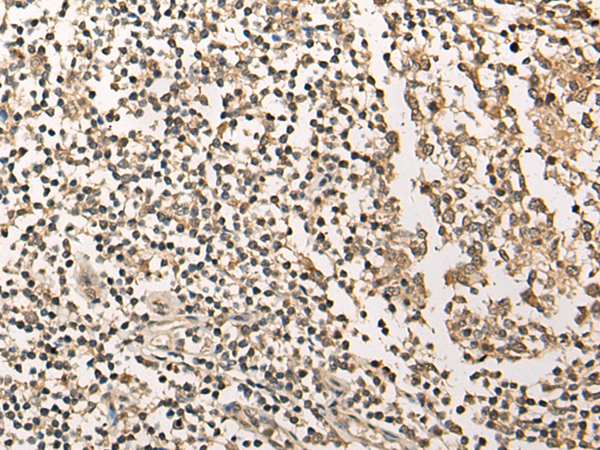
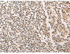
IHC positive control: |
Human colorectal cancer and Human tonsil |
|
IHC Recommend dilution: |
25-100 |
|
WB Predicted band size: |
30 kDa |
|
WB Positive control: |
Human fetal liver tissue lysate |
|
WB Recommended dilution: |
200-1000 |


購(gòu)物車(chē)
幫助
021-54845833/15800441009
