|
Background: |
TMEM97 is a conserved integral membrane protein that plays a role in controlling cellular cholesterol levels (Bartz et al., 2009 [PubMed 19583955]). |
|
Applications: |
ELISA, IHC |
|
Name of antibody: |
TMEM97 |
|
Immunogen: |
Synthetic peptide of human TMEM97 |
|
Full name: |
transmembrane protein 97 |
|
Synonyms: |
MAC30 |
|
SwissProt: |
Q5BJF2 |
|
ELISA Recommended dilution: |
5000-10000 |
|
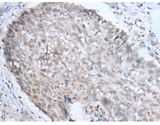
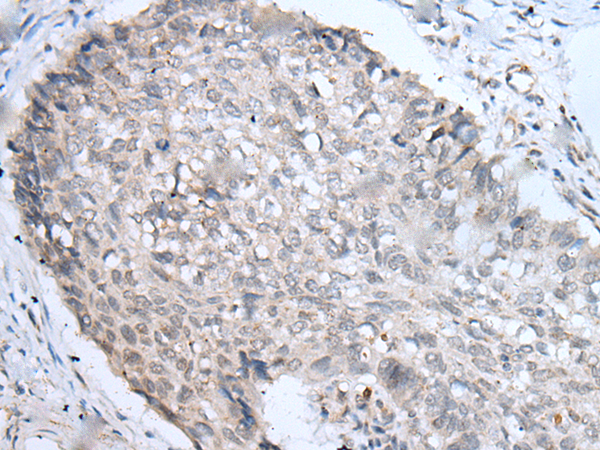
IHC positive control: |
Human lung cancer |
|
IHC Recommend dilution: |
25-100 |
購物車
幫助
021-54845833/15800441009
