|
Background: |
Acts as GTPase-activating protein for RAB7A. Signal effector acting as a linker between RAC1 and RAB7A, leading to RAB7A inactivation and subsequent inhibition of cadherin degradation and reduced cell-cell adhesion. |
|
Applications: |
ELISA, IHC |
|
Name of antibody: |
TBC1D2 |
|
Immunogen: |
Fusion protein of human TBC1D2 |
|
Full name: |
TBC1 domain family member 2 |
|
Synonyms: |
PARIS1; PARIS-1; TBC1D2A |
|
SwissProt: |
Q9BYX2 |
|
ELISA Recommended dilution: |
5000-10000 |
|
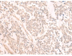
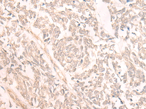
IHC positive control: |
Human lung cancer |
|
IHC Recommend dilution: |
30-150 |
購物車
幫助
021-54845833/15800441009
