|
Background: |
This gene is a member of the TAFA family which is composed of five highly homologous genes that encode small secreted proteins. These proteins contain conserved cysteine residues at fixed positions, and are distantly related to MIP-1alpha, a member of the CC-chemokine family. The TAFA proteins are predominantly expressed in specific regions of the brain, and are postulated to function as brain-specific chemokines or neurokines, that act as regulators of immune and nervous cells. Alternatively spliced transcript variants have been observed for this gene. [provided by RefSeq, Nov 2011] |
|
Applications: |
ELISA, WB, IHC |
|
Name of antibody: |
TAFA4 |
|
Immunogen: |
Fusion protein of human TAFA4 |
|
Full name: |
TAFA chemokine like family member 4 |
|
Synonyms: |
TAFA-4; FAM19A4 |
|
SwissProt: |
Q96LR4 |
|
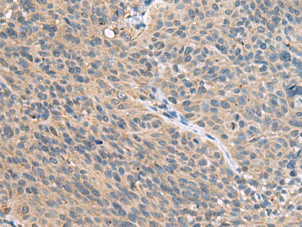
IHC positive control: |
Human cervical cancer |
|
IHC Recommend dilution: |
50-200 |
|
WB Predicted band size: |
16 kDa |
|
WB Positive control: |
Rat kidney tissue lysate |
|
WB Recommended dilution: |
500-2000 |

購(gòu)物車(chē)
幫助
021-54845833/15800441009
