|
Background: |
This gene encodes a member of the transforming acidic colied-coil protein family. The encoded protein is a motor spindle protein that may play a role in stabilization of the mitotic spindle. This protein may also play a role in growth a differentiation of certain cancer cells. |
|
Applications: |
WB, IHC, IF |
|
Name of antibody: |
TACC3 |
|
Immunogen: |
Synthesized peptide derived from C-terminal of human TACC3. |
|
Full name: |
transforming, acidic coiled-coil containing protein 3 |
|
Synonyms: |
ERIC1; ERIC-1 |
|
SwissProt: |
Q9Y6A5 |
|
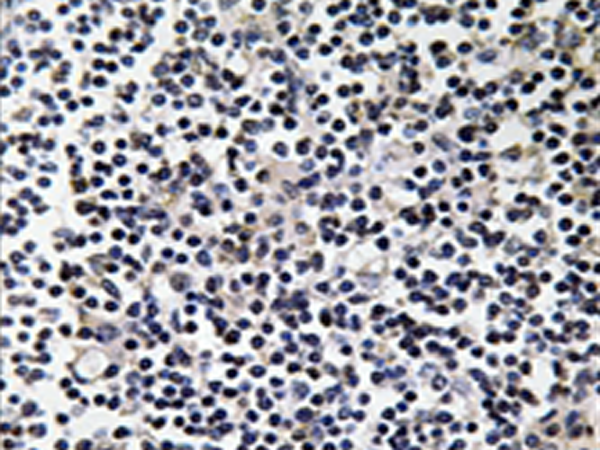
IHC positive control: |
Human lung carcinoma tissue |
|
IHC Recommend dilution: |
50-100 |
|
WB Predicted band size: |
90 kDa |
|
WB Positive control: |
293 cells and Huvec cells lysates |
|
WB Recommended dilution: |
500-3000 |
|
IF positive control: |
A549cells |
|
IF Recommend dilution: |
100-500 |


購物車
幫助
021-54845833/15800441009
