|
Background: |
Required for the localization of dynein and dynactin to the mitotic kintochore. Dynein is believed to control the initial lateral interaction between the kinetochore and spindle microtubules and to facilitate the subsequent formation of end-on kinetochore-microtubule attachments mediated by the NDC80 complex. Also required for correct spindle orientation. Does not appear to be required for the removal of spindle assembly checkpoint (SAC) proteins from the kinetochore upon bipolar spindle attachment. |
|
Applications: |
ELISA, IHC |
|
Name of antibody: |
SPDL1 |
|
Immunogen: |
Synthetic peptide of humanSPDL1 |
|
Full name: |
spindle apparatus coiled-coil protein 1 |
|
Synonyms: |
CCDC99 |
|
SwissProt: |
Q96EA4 |
|
ELISA Recommended dilution: |
2000-5000 |
|
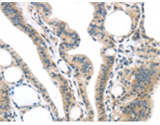
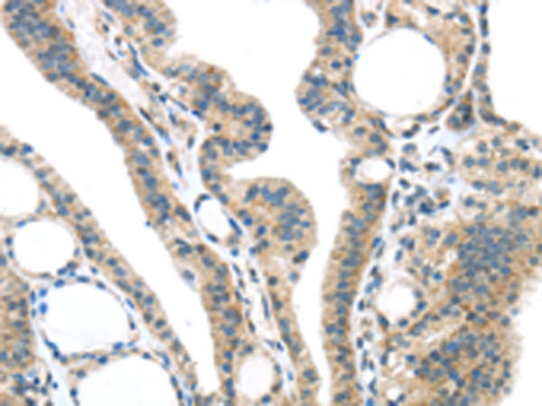
IHC positive control: |
Human thyroid cancer and Human esophagus cancer |
|
IHC Recommend dilution: |
25-100 |
購(gòu)物車
幫助
021-54845833/15800441009
