中文名稱:兔抗SLC23A1多克隆抗體
|
Background: |
The absorption of vitamin C into the body and its distribution to organs requires two sodium-dependent vitamin C transporters. This gene encodes one of the two transporters. The encoded protein is active in bulk vitamin C transport involving epithelial surfaces. Previously, this gene had an official symbol of SLC23A2. Alternatively spliced transcript variants encoding different isoforms have been found for this gene. |
|
Applications: |
ELISA, IHC |
|
Name of antibody: |
SLC23A1 |
|
Immunogen: |
Synthetic peptide of human SLC23A1 |
|
Full name: |
solute carrier family 23 member 1 |
|
Synonyms: |
SVCT1; YSPL3; SLC23A2 |
|
SwissProt: |
Q9UHI7 |
|
ELISA Recommended dilution: |
5000-10000 |
|
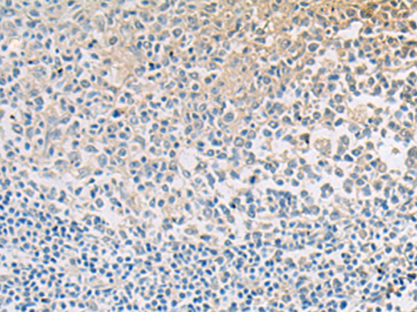
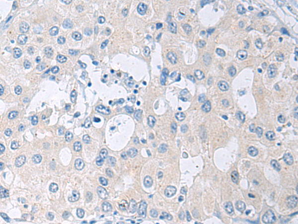
IHC positive control: |
Human breast cancer and Human tonsil |
|
IHC Recommend dilution: |
25-50 |

購物車
幫助
021-54845833/15800441009
