|
Background: |
Although the function of this gene is not known, the existence of this gene is supported by mRNA and EST data. A possible function of the encoded protein can be inferred from amino acid sequence similarity to the E.coli FtsJ protein and to a mouse protein possibly involved in embryogenesis. |
|
Applications: |
ELISA, IHC |
|
Name of antibody: |
FTSJ3 |
|
Immunogen: |
Fusion protein of human FTSJ3 |
|
Full name: |
FtsJ homolog 3 |
|
Synonyms: |
SPB1; EPCS3 |
|
SwissProt: |
Q8IY81 |
|
ELISA Recommended dilution: |
5000-10000 |
|
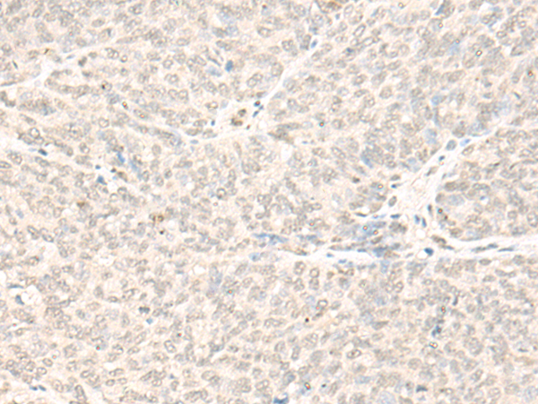
IHC positive control: |
Human ovarian cancer |
|
IHC Recommend dilution: |
30-150 |

購物車
幫助
021-54845833/15800441009
