Background:
This gene belongs to the forkhead family of transcription factors which are characterized by a distinct forkhead domain. The specific function of this gene has not yet been determined; however, it may play a role in myogenic growth and differentiation. Translocation of this gene with PAX3 has been associated with alveolar rhabdomyosarcoma.
Applications:
WB, IHC, IF
Name of antibody:
FOXO1 (Phospho-Ser256)
Immunogen:
Synthetic peptide of human FOXO1 (Phospho-Ser256)
Full name:
forkhead box O1 (Phospho-Ser256)
Synonyms:
FKH1; FKHR; FOXO1A
SwissProt:
Q12778
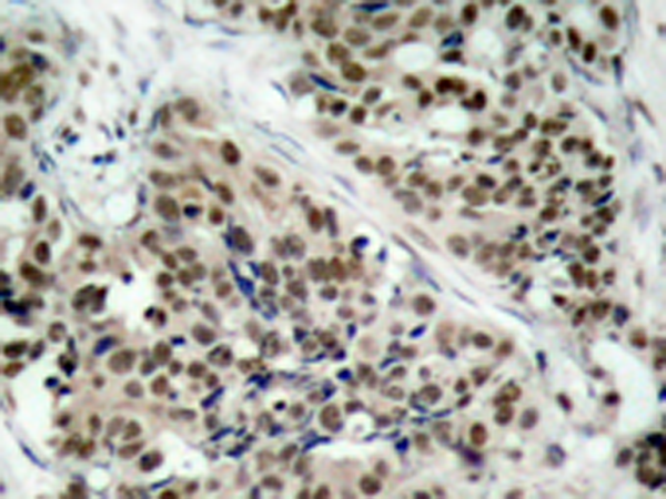
IHC positive control:
Human breast carcinoma
IHC Recommend dilution:
50-100
WB Predicted band size:
70 kDa
WB Positive control:
293 cells untreated or treated with serum
WB Recommended dilution:
500-1000
IF Positive control:
MCF7 cells
IF Recommended dilution
100-200

購物車
幫助
021-54845833/15800441009
