|
Background: |
Appears to have a role in the catabolic pathway of the renin-angiotensin system. Probably plays a role in regulating growth and differentiation of early B-lineage cells. |
|
Applications: |
ELISA, IHC |
|
Name of antibody: |
ENPEP |
|
Immunogen: |
Synthetic peptide of human ENPEP |
|
Full name: |
glutamyl aminopeptidase |
|
Synonyms: |
APA; CD249; gp160 |
|
SwissProt: |
Q07075 |
|
ELISA Recommended dilution: |
5000-10000 |
|
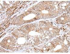
IHC positive control: |
Human colorectal cancer |
|
IHC Recommend dilution: |
50-300 |
購物車
幫助
021-54845833/15800441009
