中文名稱: 兔抗UBE2E2多克隆抗體
|
Background: |
Ubiquitination is an important mechanism through which three classes of enzymes act in concert to target short-lived or abnormal proteins for destruction. The three classes of enzymes involved in ubiquitination are the ubiquitin-activating enzymes (E1s), the ubiquitin-conjugating enzymes (E2s) and the ubiquitin-protein ligases (E3s). The first step in the ubiquitination process requires the ATP-dependent activation of the ubiquitin C-terminus and the assembly of multi-ubiquitin chains by the E1 enzyme. The ubiquitin chain is then conjugated to the E2 enzyme to generate an intermediate ubiquitin-E2 complex. The E3 enzyme then catalyzes the transfer of ubiquitin from E2 to the appropriate protein substrate, thereby targeting that substrate for degradation. A wide range of enzymes facilitate this proteolytic ubiquitin pathway, one of which is UBE2E2 (also known as UBCH8 in human), which functions as an E2 enzyme and catalyzes the ATP-dependent covalent attachment of ubiquitin to target proteins, thereby playing an important role in protein degradation. |
|
Applications: |
ELISA, IHC |
|
Name of antibody: |
UBE2E2 |
|
Immunogen: |
Full length fusion protein |
|
Full name: |
ubiquitin conjugating enzyme E2E 2 |
|
Synonyms: |
UBCH8 |
|
SwissProt: |
Q96LR5 |
|
ELISA Recommended dilution: |
5000-10000 |
|
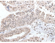
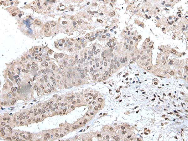
IHC positive control: |
Human liver cancer |
|
IHC Recommend dilution: |
25-100 |
購物車
幫助
021-54845833/15800441009
