|
Background: |
This gene has been reported in PMID 9403053 as one of several tumor-suppressing subtransferable fragments located in the imprinted gene domain of 11p15.5, an important tumor-suppressor gene region. Alterations in this region have been associated with the Beckwith-Wiedemann syndrome, Wilms tumor, rhabdomyosarcoma, adrenocortical carcinoma, and lung, ovarian, and breast cancer. Alignment of this gene to genomic sequence data suggests that this gene resides on chromosome 2 rather than chromosome 11. [provided by RefSeq, Dec 2008] |
|
Applications: |
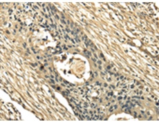
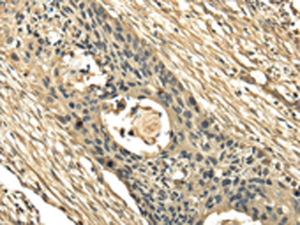
ELISA, IHC |
|
Name of antibody: |
EIPR1 |
|
Immunogen: |
Fusion protein of human EIPR1 |
|
Full name: |
EARP complex and GARP complex interacting protein 1 |
|
Synonyms: |
TSSC1; EIPR-1 |
|
SwissProt: |
Q53HC9 |
|
IHC positive control: |
Human esophagus cancer |
|
IHC Recommend dilution: |
25-100 |
購物車
幫助
021-54845833/15800441009
