中文名稱: 兔抗EIF3C多克隆抗體
|
Background: |
Component of the eukaryotic translation initiation factor 3 (eIF-3) complex, which is required for several steps in the initiation of protein synthesis (PubMed:17581632, PubMed:25849773, PubMed:27462815). The eIF-3 complex associates with the 40S ribosome and facilitates the recruitment of eIF-1, eIF-1A, eIF-2:GTP:methionyl-tRNAi and eIF-5 to form the 43S pre-initiation complex (43S PIC). The eIF-3 complex stimulates mRNA recruitment to the 43S PIC and scanning of the mRNA for AUG recognition. The eIF-3 complex is also required for disassembly and recycling of post-termination ribosomal complexes and subsequently prevents premature joining of the 40S and 60S ribosomal subunits prior to initiation (PubMed:17581632). The eIF-3 complex specifically targets and initiates translation of a subset of mRNAs involved in cell proliferation, including cell cycling, differentiation and apoptosis, and uses different modes of RNA stem-loop binding to exert either translational activation or repression (PubMed:25849773). |
|
Applications: |
ELISA, IHC |
|
Name of antibody: |
EIF3C |
|
Immunogen: |
Fusion protein of human EIF3C |
|
Full name: |
eukaryotic translation initiation factor 3 subunit C |
|
Synonyms: |
EIF3CL; EIF3S8; eIF3-p110 |
|
SwissProt: |
Q99613 |
|
ELISA Recommended dilution: |
5000-10000 |
|
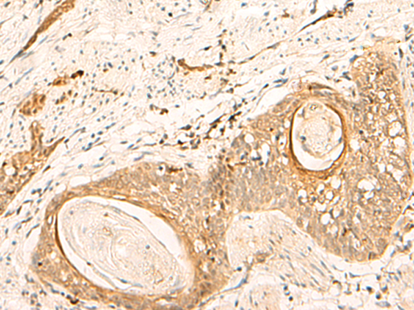
IHC positive control: |
Human tonsil and Human esophagus cancer |
|
IHC Recommend dilution: |
40-200 |

購物車
幫助
021-54845833/15800441009
