|
Background: |
This gene encodes a methyltransferase that methylates lysine residues of histone H3. Methylation of H3 at lysine 9 by this protein results in recruitment of additional epigenetic regulators and repression of transcription. This gene was initially thought to be two different genes, NG36 and G9a, adjacent to each other in the HLA locus. Alternative splicing results in multiple transcript variants. |
|
Applications: |
ELISA, IHC |
|
Name of antibody: |
EHMT2 |
|
Immunogen: |
Synthetic peptide of human EHMT2 |
|
Full name: |
euchromatic histone lysine methyltransferase 2 |
|
Synonyms: |
G9A; BAT8; GAT8; NG36; KMT1C; C6orf30 |
|
SwissProt: |
Q96KQ7 |
|
ELISA Recommended dilution: |
5000-10000 |
|
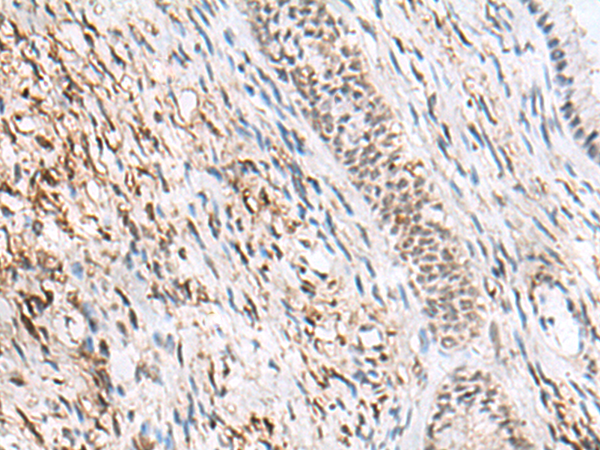
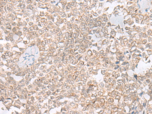
IHC positive control: |
Human ovarian cancer and Human cervical cancer |
|
IHC Recommend dilution: |
25-100 |

購(gòu)物車(chē)
幫助
021-54845833/15800441009
