中文名稱:兔抗ECSIT多克隆抗體
|
Background: |
Adapter protein of the Toll-like and IL-1 receptor signaling pathway that is involved in the activation of NF-kappa-B via MAP3K1. Promotes proteolytic activation of MAP3K1. Involved in the BMP signaling pathway. Required for normal embryonic development (By similarity). |
|
Applications: |
ELISA, IHC |
|
Name of antibody: |
ECSIT |
|
Immunogen: |
Fusion protein of human ECSIT |
|
Full name: |
ECSIT signalling integrator |
|
Synonyms: |
SITPEC |
|
SwissProt: |
Q9BQ95 |
|
ELISA Recommended dilution: |
5000-10000 |
|
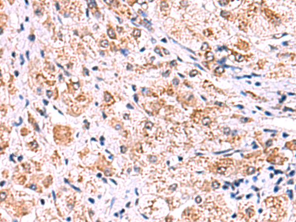
IHC positive control: |
Human liver cancer and Human tonsil |
|
IHC Recommend dilution: |
50-300 |

購物車
幫助
021-54845833/15800441009
