|
Background: |
This gene encodes a member of the DNA2/NAM7 helicase family. The encoded protein is a conserved helicase/nuclease involved in the maintenance of mitochondrial and nuclear DNA stability. Mutations in this gene are associated with autosomal dominant progressive external ophthalmoplegia-6 (PEOA6) and Seckel syndrome 8. Alternatively spliced transcript variants have been found for this gene. |
|
Applications: |
ELISA, IHC |
|
Name of antibody: |
DNA2 |
|
Immunogen: |
Fusion protein of human DNA2 |
|
Full name: |
DNA replication helicase/nuclease 2 |
|
Synonyms: |
DNA2L; hDNA2 |
|
SwissProt: |
P51530 |
|
ELISA Recommended dilution: |
5000-10000 |
|
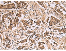
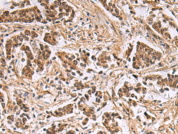
IHC positive control: |
Human breast cancer |
|
IHC Recommend dilution: |
50-100 |
購物車
幫助
021-54845833/15800441009
