中文名稱: 兔抗TWF2多克隆抗體
|
Background: |
The protein encoded by this gene was identified by its interaction with the catalytic domain of protein kinase C-zeta. The encoded protein contains an actin-binding site and an ATP-binding site. It is most closely related to twinfilin (PTK9), a conserved actin monomer-binding protein. |
|
Applications: |
ELISA, IHC |
|
Name of antibody: |
TWF2 |
|
Immunogen: |
Fusion protein of human TWF2 |
|
Full name: |
twinfilin actin-binding protein 2 |
|
Synonyms: |
A6r; A6RP; PTK9L; MSTP011 |
|
SwissProt: |
Q6IBS0 |
|
ELISA Recommended dilution: |
2000-5000 |
|
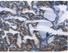
IHC positive control: |
Human thyroid cancer |
|
IHC Recommend dilution: |
25-100 |

購物車
幫助
021-54845833/15800441009
