中文名稱: 兔抗DEFB1多克隆抗體
|
Background: |
Defensins form a family of microbicidal and cytotoxic peptides made by neutrophils. Members of the defensin family are highly similar in protein sequence. This gene encodes defensin, beta 1, an antimicrobial peptide implicated in the resistance of epithelial surfaces to microbial colonization. This gene maps in close proximity to defensin family member, defensin, alpha 1 and has been implicated in the pathogenesis of cystic fibrosis. |
|
Applications: |
ELISA, IHC |
|
Name of antibody: |
DEFB1 |
|
Immunogen: |
Synthetic peptide of human DEFB1 |
|
Full name: |
defensin beta 1 |
|
Synonyms: |
BD1; HBD1; DEFB-1; DEFB101 |
|
SwissProt: |
P60022 |
|
ELISA Recommended dilution: |
5000-10000 |
|
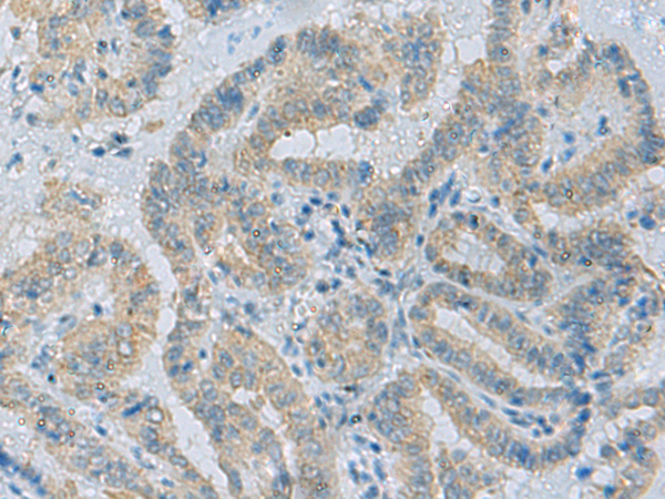
IHC positive control: |
Human thyroid cancer |
|
IHC Recommend dilution: |
50-100 |

購物車
幫助
021-54845833/15800441009
