|
Background: |
Tissue specific transplantation antigen P35B is a NADP(H)-binding protein. It catalyze the two-step epimerase and the reductase reactions in GDP-D-mannose metabolism, converting GDP-4-keto-6-D-deoxymannose to GDP-L-fucose. GDP-L-fucose is the substrate of several fucosyltransferases involved in the expression of many glycoconjugates, including blood group ABH antigens and developmental adhesion antigens. Mutations in this gene may cause leukocyte adhesion deficiency, type II. |
|
Applications: |
ELISA, IHC |
|
Name of antibody: |
TSTA3 |
|
Immunogen: |
Fusion protein of human TSTA3 |
|
Full name: |
tissue specific transplantation antigen P35B |
|
Synonyms: |
FX; P35B; SDR4E1 |
|
SwissProt: |
Q13630 |
|
ELISA Recommended dilution: |
5000-10000 |
|
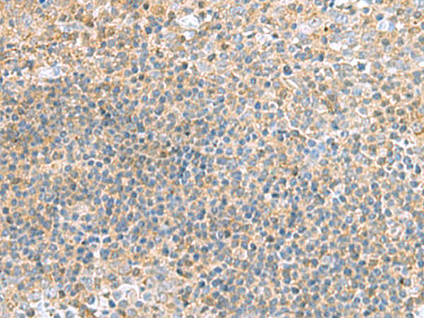
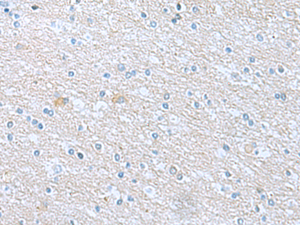
IHC positive control: |
Human tonsil and Human brain |
|
IHC Recommend dilution: |
50-100 |
購物車
幫助
021-54845833/15800441009
