中文名稱(chēng): 兔抗TSSK3多克隆抗體
|
Background: |
This gene encodes a kinase expressed exclusively in the testis that is thought to play a role in either germ cell differentiation or mature sperm function. |
|
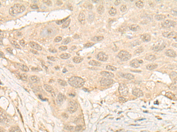
Applications: |
ELISA, IHC |
|
Name of antibody: |
TSSK3 |
|
Immunogen: |
Full length fusion protein |
|
Full name: |
testis specific serine kinase 3 |
|
Synonyms: |
TSK3; SPOGA3; STK22C; STK22D |
|
SwissProt: |
Q96PN8 |
|
ELISA Recommended dilution: |
5000-10000 |
|
IHC positive control: |
Human liver cancer;Human esophagus cancer |
|
IHC Recommend dilution: |
25-100 |


購(gòu)物車(chē)
幫助
021-54845833/15800441009
