中文名稱:兔抗CREB1(Ab-129/133) 多克隆抗體
|
Background: |
This gene encodes a transcription factor that is a member of the leucine zipper family of DNA binding proteins. This protein binds as a homodimer to the cAMP-responsive element, an octameric palindrome. The protein is phosphorylated by several protein kinases, and induces transcription of genes in response to hormonal stimulation of the cAMP pathway. Alternate splicing of this gene results in two transcript variants encoding different isoforms. |
|
Applications: |
WB, IHC |
|
Name of antibody: |
CREB1(Ab-129/133) |
|
Immunogen: |
Synthesized non-phosphopeptide derived from human CREB around the phosphorylation site of serine 129 or serine 133(S-R-R-P-S). |
|
Full name: |
cAMP responsive element binding protein 1 |
|
Synonyms: |
CREB |
|
SwissProt: |
P16220 |
|
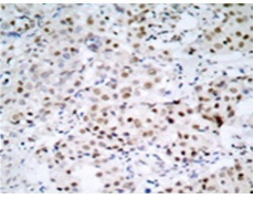
IHC positive control: |
Human breast carcinoma tissue |
|
IHC Recommend dilution: |
50-100 |
|
WB Predicted band size: |
37 kDa |
|
WB Positive control: |
Hela cells treated with UV lysate |
|
WB Recommended dilution: |
500-3000 |

購物車
幫助
021-54845833/15800441009
