中文名稱:兔抗CNOT2多克隆抗體
|
Background: |
This gene encodes a subunit of the multi-component CCR4-NOT complex. The CCR4-NOT complex regulates mRNA synthesis and degradation and is also thought to be involved in mRNA splicing, transport and localization. The encoded protein interacts with histone deacetylases and functions as a repressor of polymerase II transcription. Alternatively spliced transcript variants have been observed for this gene. |
|
Applications: |
ELISA, IHC |
|
Name of antibody: |
CNOT2 |
|
Immunogen: |
Fusion protein of human CNOT2 |
|
Full name: |
CCR4-NOT transcription complex subunit 2 |
|
Synonyms: |
NOT2; CDC36; NOT2H; HSPC131 |
|
SwissProt: |
Q9NZN8 |
|
ELISA Recommended dilution: |
5000-10000 |
|
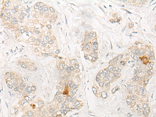
IHC positive control: |
Human liver cancer and Human breast cancer |
|
IHC Recommend dilution: |
20-100 |

購(gòu)物車
幫助
021-54845833/15800441009
