中文名稱:兔抗CMC4多克隆抗體
|
Background: |
This gene was identified by involvement in some t(X;14) translocations associated with mature T-cell proliferations. This region has a complex gene structure, with a common promoter and 5' exon spliced to two different sets of 3' exons that encode two different proteins. This gene represents the downstream 8 kDa protein that localizes to mitochondria. |
|
Applications: |
ELISA, IHC |
|
Name of antibody: |
CMC4 |
|
Immunogen: |
Fusion protein of human CMC4 |
|
Full name: |
C-x(9)-C motif containing 4 |
|
Synonyms: |
p8; C6.1B; MTCP1; MTCP1B; MTCP1NB; p8MTCP1 |
|
SwissProt: |
P56277 |
|
ELISA Recommended dilution: |
2000-10000 |
|
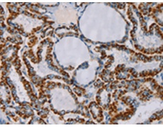
IHC positive control: |
Human thyroid cancer and human brain |
|
IHC Recommend dilution: |
100-300 |
購物車
幫助
021-54845833/15800441009
