|
Background: |
The acetylcholine receptor of muscle has 5 subunits of 4 different types: 2 alpha and 1 each of beta, gamma and delta subunits. After acetylcholine binding, the receptor undergoes an extensive conformation change that affects all subunits and leads to opening of an ion-conducting channel across the plasma membrane. Defects in this gene are a cause of multiple pterygium syndrome lethal type (MUPSL), congenital myasthenic syndrome slow-channel type (SCCMS), and congenital myasthenic syndrome fast-channel type (FCCMS). Several transcript variants encoding different isoforms have been found for this gene. |
|
Applications: |
ELISA, IHC |
|
Name of antibody: |
CHRND |
|
Immunogen: |
Synthetic peptide of human CHRND |
|
Full name: |
cholinergic receptor nicotinic delta subunit |
|
Synonyms: |
ACHRD; CMS2A; CMS3A; CMS3B; CMS3C; FCCMS; SCCMS |
|
SwissProt: |
Q07001 |
|
ELISA Recommended dilution: |
5000-10000 |
|
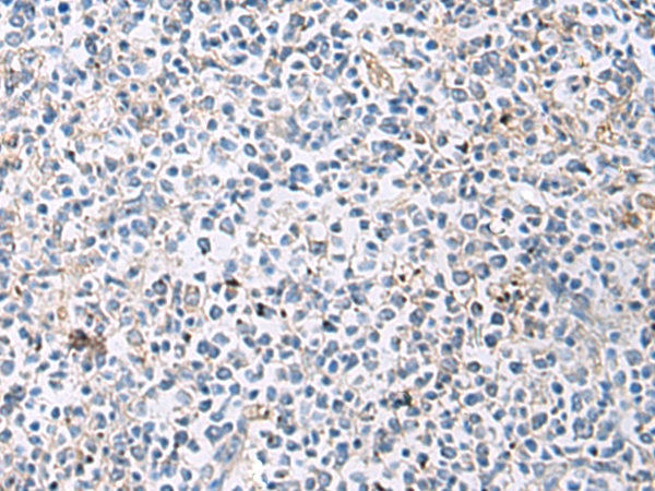
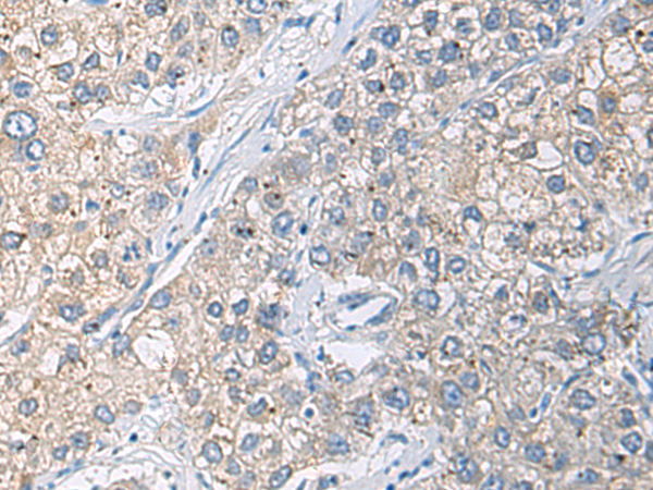
IHC positive control: |
Human liver cancer and Human tonsil |
|
IHC Recommend dilution: |
25-50 |

購物車
幫助
021-54845833/15800441009
