中文名稱: 兔抗AGAP2多克隆抗體
|
Background: |
The protein encoded by this gene belongs to the centaurin gamma-like family. It mediates anti-apoptotic effects of nerve growth factor by activating nuclear phosphoinositide 3-kinase. It is overexpressed in cancer cells, and promotes cancer cell invasion. Alternatively spliced transcript variants encoding different isoforms have been described for this gene. |
|
Applications: |
ELISA, IHC |
|
Name of antibody: |
AGAP2 |
|
Immunogen: |
Synthetic peptide of human AGAP2 |
|
Full name: |
ArfGAP with GTPase domain, ankyrin repeat and PH domain 2 |
|
Synonyms: |
PIKE; GGAP2; CENTG1 |
|
SwissProt: |
Q99490 |
|
ELISA Recommended dilution: |
1000-5000 |
|
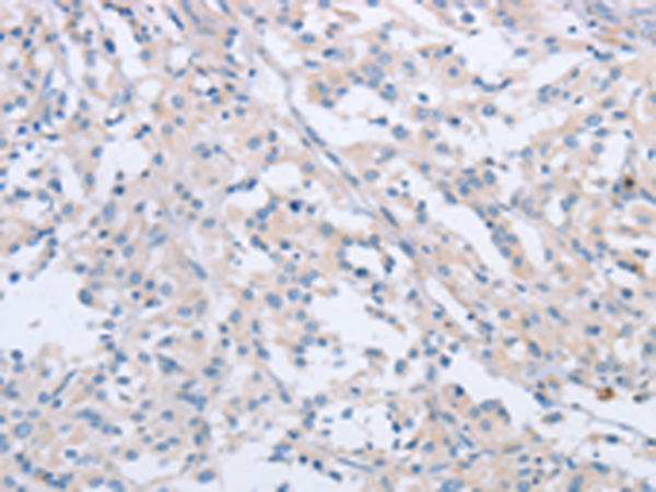
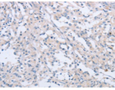
IHC positive control: |
Human thyroid cancer |
|
IHC Recommend dilution: |
50-200 |
購物車
幫助
021-54845833/15800441009
