中文名稱:兔抗ACTN1/2/3/4多克隆抗體
|
Background: |
Alpha actinins belong to the spectrin gene superfamily which represents a diverse group of cytoskeletal proteins, including the alpha and beta spectrins and dystrophins. Alpha actinin is an actin-binding protein with multiple roles in different cell types. In nonmuscle cells, the cytoskeletal isoform is found along microfilament bundles and adherens-type junctions, where it is involved in binding actin to the membrane. In contrast, skeletal, cardiac, and smooth muscle isoforms are localized to the Z-disc and analogous dense bodies, where they help anchor the myofibrillar actin filaments. This gene encodes a nonmuscle, cytoskeletal, alpha actinin isoform and maps to the same site as the structurally similar erythroid beta spectrin gene. Three transcript variants encoding different isoforms have been found for this gene. |
|
Applications: |
WB |
|
Name of antibody: |
ACTN1/2/3/4 |
|
Immunogen: |
Synthesized peptide derived from internal of human ACTN4. |
|
Full name: |
actinin, alpha 1/2/3/4 |
|
Synonyms: |
BDPLT15/CMD1AA/FSGS; FSGS1; ACTININ-4 |
|
SwissProt: |
P12814/P35609/Q08043/O43707 |
|
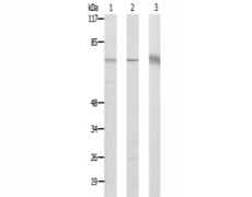
WB Predicted band size: |
103/104/103/105 kDa |
|
WB Positive control: |
293 cells, Hela cells and A549 cells lysates |
|
WB Recommended dilution: |
500-3000 |
購物車
幫助
021-54845833/15800441009
