|
Background: |
KRT222, also known as KRT222P. KRT222 is a 295 amino acid protein belonging to the intermediate filament family. The gene encoding KRT222P has been listed as a pseudogene, however it has not been established that the protein is not translated, and is therefore treated as a protein coding gene. Existing as two alternatively spliced isoforms, the gene encoding KRT222P maps to human chromosome 17, which comprises over 2.5% of the human genome and encodes over 1,200 genes. Two key tumor suppressor genes are associated with chromosome 17, namely, p53 and BRCA1. Tumor suppressor p53 is necessary for maintenance of cellular genetic integrity by moderating cell fate through DNA repair versus cell death. Malfunction or loss of p53 expression is associated with malignant cell growth and Li-Fraumeni syndrome. Like p53, BRCA1 is directly involved in DNA repair, though specifically it is recognized as a genetic determinant of early onset breast cancer and predisposition to cancers of the ovary, colon, prostate gland and fallopian tubes. |
|
Applications: |
ELISA, IHC |
|
Name of antibody: |
KRT222 |
|
Immunogen: |
Full length fusion protein |
|
Full name: |
keratin 222, type II |
|
Synonyms: |
KA21; KRT222P |
|
SwissProt: |
Q8N1A0 |
|
ELISA Recommended dilution: |
5000-10000 |
|
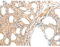
IHC positive control: |
Human thyroid cancer |
|
IHC Recommend dilution: |
25-100 |

購物車
幫助
021-54845833/15800441009
