|
Background: |
GABA is the major inhibitory neurotransmitter in the mammalian brain where it acts at GABA-A receptors, which are ligand-gated chloride channels. Chloride conductance of these channels can be modulated by agents such as benzodiazepines that bind to the GABA-A receptor. At least 16 distinct subunits of GABA-A receptors have been identified. Alternatively spliced transcript variants encoding the same protein have been found for this gene. |
|
Applications: |
WB |
|
Name of antibody: |
GABRA2 |
|
Immunogen: |
Fusion protein of human GABRA2 |
|
Full name: |
gamma-aminobutyric acid (GABA) A receptor, alpha 2 |
|
Synonyms: |
GABRA2; GABA(A) receptor; alpha 2 |
|
SwissProt: |
P47869 |
|
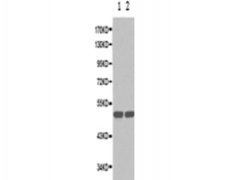
WB Predicted band size: |
51 kDa |
|
WB Positive control: |
NCI-H460 and MDA-MB435 cells |
|
WB Recommended dilution: |
500-2000 |

購(gòu)物車(chē)
幫助
021-54845833/15800441009
